Skip to main content

23 Σεπτεμβρίου, 2020

Press Room

Κορωνοϊός: Aκτινογραφία δείχνει τη ραγδαία επιδείνωση στους πνεύμονες 38χρονου ασθενούς [εικόνα]


Σοκ προκαλούν οι δύο ακτινογραφίες που ανάρτησε στο Facebook ακτινολόγος από το ΚΑΤ, καθώς αποδεικνύουν την επίδραση που έχει ο κορωνοϊός στους πνεύμονες των ασθενών.

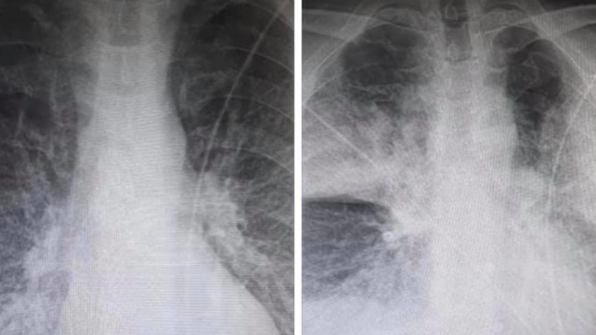
Όπως περιγράφει ο ακτινολόγος του ΚΑΤ Μάνος Καρράς οι δύο ακτινογραφίες ανήκουν σε έναν 38χρονο, ο οποίος είναι καπνιστής και διαβητικός. Σύμφωνα με τον ίδιο, οι ακτινογραφίες έχουν καταγραφεί με 7,5 ώρες διαφορά.

Η πρώτη είναι από την εισαγωγή στις 12 το μεσημέρι με 98% κορεσμό οξυγόνου και η δεύτερη, η επαναληπτική, πραγματοποιήθηκε στις 19:30 με τον ασθενή να είναι πλέον με μάσκα οξυγόνου.

Όπως εξηγεί σε σχόλιο στην ανάρτησή του ο κ. Καρράς, τα «σύννεφα» στη δεύτερη ακτινογραφία συνήθως σημαίνουν υγρό οίδημα φλεγμονή και «είναι κομμάτι του πνεύμονα που “δεν αναπνέει”».

«Δεν υπάρχει ιός» καταλήγει στην ανάρτησή του ο κ. Καρράς απαντώντας σε εκείνους που θεωρούν ότι ο νέος κορωνοϊός δεν είναι υπαρκτός.

ΔΙΚΤΥΟ ΤΗΛΕΟΡΑΣΗ- ΤΡΟΠΟΙ ΕΠΙΚΟΙΝΩΝΙΑΣ