Συχνότητα-Εντόπιση
Οι πιο συχνές κύστεις των γνάθων είναι οι ριζικές ή ακρορριζικές κύστεις που εντοπίζονται γύρω από τα ακρορρίζια νεκρών δοντιών, με δεύτερη σε συχνότητα την οδοντοφόρο κύστη, που αναπτύσσεται κατά κανόνα γύρω από τη μύλη κάποιου έγκλειστου δοντιού, συνηθέστερα σωφρονιστήρα της κάτω γνάθου. Οι οδοντογενείς κερατινοκύστεις είναι η τρίτη συχνότερη κύστη των γνάθων και τις συναντάμε κυρίως στην κάτω γνάθο και στην περιοχή της γωνίας, αποκτώντας πολύ συχνά εξαιρετικά μεγάλες διαστάσεις, απωθώντας παρακείμενα δόντια ή προκαλώντας και απορρόφηση των ριζών τους. Η τάση τους να λαμβάνουν μεγάλες διαστάσεις, η πολύ μεγάλη συχνότητα υποτροπής μετά από αφαίρεσή τους, το πολύ λεπτό και εύθρυπτο τοίχωμά τους, η εμπλοκή τους στο σύνδρομο Gorlin και ο επιθετικός-διηθητικός τρόπος ανάπτυξής τους, καθιστούν τη βιολογική τους συμπεριφορά όμοια με εκείνη των καλοήθων νεοπλασμάτων. Έτσι, η Παγκόσμια Οργάνωση Υγείας στην τελευταία της αναθεώρηση κατατάσσει τις κερατινοκύστεις στους καλοήθεις οδοντογενείς όγκους των γνάθων μετονομάζοντας τη βλάβη σε Οδοντογενή Κερατινωσικό Όγκο.
Οι μη οδοντογενείς κύστεις είναι σπάνιες κύστεις, με τις γναθοσφαιροειδείς να εμφανίζονται χαρακτηριστικά ανάμεσα στις ρίζες του άνω πλάγιου τομέα και του κυνόδοντα τις οποίες και απωθούν, τις ρινοϋπερώιες στο πρόσθιο τμήμα της υπερώας στον ομώνυμο πόρο και τις ρινοχειλικές με εξωοστική εντόπιση κάτω από τη ρινοχειλική αύλακα.



Διάγνωση (Κλινική, Ακτινολογική, Ιστολογική εικόνα)
Κατά κανόνα, οι κύστεις των γνάθων είναι ασυμπτωματικές βλάβες και γίνονται αντιληπτές στις ακόλουθες περιπτώσεις:
- Ως τυχαία απεικονιστικά ευρήματα.
- Όταν το μέγεθός τους αποκτήσει διαστάσεις που προκαλούν διογκώσεις, οι οποίες είτε γίνονται ορατές, είτε επεκτείνονται σε γειτονικές ανατομικές δομές των οποίων μπορούν εμμέσως να επηρεάσουν τη λειτουργία (κλίσεις-κινητικότητα δοντιών, διάταση-διάτρηση των γνάθων με επεκτάσεις στη στοματική κοιλότητα, ιγμόρειο άντρο ή στη ρινική κοιλότητα).
- Σε λοίμωξη, όπου αφορά ή τις ίδιες τις κύστεις ή και τις γειτονικές δομές στις οποίες έχει επεκταθεί η κύστη και η λοίμωξή της, με χαρακτηριστικότερη την περίπτωση της οδοντογενούς ιγμορίτιδας. Τα συμπτώματα είναι οίδημα, πόνος, αποστηματοποίηση, ακόμη πυρετός ή και κακουχία.
- Σπάνια, σε παθολογικό κάταγμα της κάτω γνάθου στην περίπτωση που η κύστη διηθήσει όλο το πάχος του οστού.
- Επίσης, σπάνια σε νεοπλασματική εξαλλαγή με τις ιδιαίτερες συνοδές τοπικές (αιφνίδια εξέλκωση ή/και σκληρία) και περιοχικές εκδηλώσεις (διογκώσεις τραχηλικών λεμφαδένων).
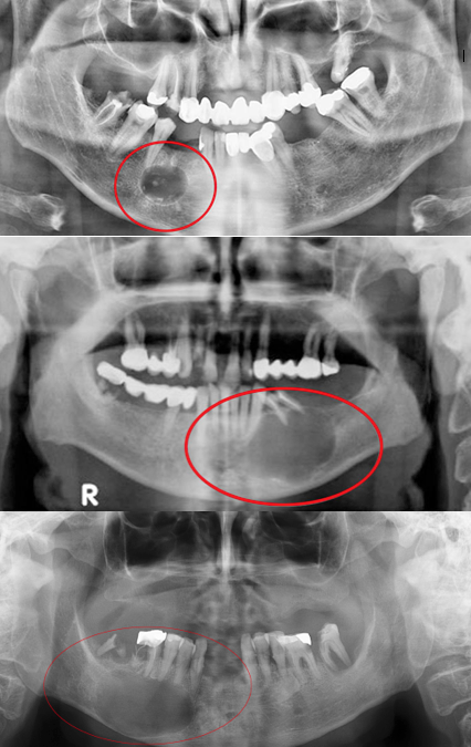
Ακτινογραφικά οι κύστεις των γνάθων εμφανίζονται ως οστικές διαυγαστικές αλλοιώσεις με σαφή όρια αφοριζόμενες με χαρακτηριστική λεπτή ακτινοσκιερή περιφερική πύκνωση από το πέριξ φυσιολογικό οστό.




