Δρ. Νικόλαος Κεχαγιάς: Τι είναι η Διατατική Οστεογένεση
Διατατική οστεογένεση
Είναι μια χειρουργική μέθοδος αναδόμησης και διόρθωσης των οστικών παραμορφώσεων, που προκύπτουν από διάφορες αιτίες, όπως είναι: δυσπλασίες ή σύνδρομα, τραυματισμοί, αισθητικές απαιτήσεις, ή ογκολογικά περιστατικά.
Η διατατική οστεογένεση είναι μια σχετικά μικρή χειρουργική διαδικασία σε σύγκριση με τις παραδοσιακές μεθόδους και μπορεί να διατηρηθεί η ακεραιότητα των νεύρων και των αγγείων. Μελλοντικές προσεγγίσεις για την διατατική οστεογένεση μπορούν να περιλαμβάνουν τις ακόλουθες συσκευές ή τεχνικές όπως: εμφυτεύσιμες συσκευές κατασκευασμένες από βιοαπορροφήσιμα υλικά, πολυδιανυσματικές εσωτερικές συσκευές, ελάχιστη επεμβατική τοποθέτηση συσκευών μέσω ενδοσκοπικών τεχνικών, διάταση με βοήθεια υπολογιστή και αυτοματοποιημένες ή μηχανοκίνητες συσκευές, καθώς και ευέλικτοι ράβδοι διάτασης που επιτρέπουν την ταυτόχρονη μασητική προσαρμογή.
Τεχνικές
Οι παραδοσιακές – παλαιότερες χειρουργικές τεχνικές αποκατάστασης, χρησιμοποιούσαν τις οστεοτομίες και τη λήψη μοσχευμάτων όπου συνδέονταν με υψηλά ποσοστά νοσηρότητας και υποτροπής.
Η νέα τεχνική της διατατικής οστεογένεσης βασίζεται στο σχηματισμό νέου οστού που αναπτύσσεται όταν εφαρμόζονται δυνάμεις τάσεως. Ο σχηματισμός αυτός του νέου οστού στο πρόσωπο είναι αποτέλεσμα της μεμβρανώδους οστεοποίησης.
Σημαντικό προτέρημα της Διατατικής Οστεογένεσης
Οι παραδοσιακές τεχνικές παρέχουν άμεση οστική διόρθωση, αλλά δεν επιτρέπουν την αντισταθμιστική αύξηση των μαλακών ιστών. Με αποτέλεσμα τη δημιουργία ουλών και λόγω της μνήμης που οι μαλακοί ιστοί διατηρούν, συχνά συστέλλονται κατά τη μετεγχειρητική περίοδο. Αυτό πιστεύεται ότι είναι ο κύριος λόγος για το υψηλό ποσοστό υποτροπής, μετά τη χρήση των παραδοσιακών τεχνικών.
Σε αντίθεση, οι τεχνικές διάτασης δημιουργούν μια σταδιακή αύξηση στην ποσότητα των μαλακών ιστών (ιστογένεση), με πρόληψη στη συστολή τους.
Η βιωσιμότητα των οστικών κυττάρων (οστεοβλάστες και οστεοκλάστες) είναι ζωτικής σημασίας για τη διατατική οστεογένεση. Η βιωσιμότητα των οστών μπορεί να ενισχυθεί με τον περιορισμό των ζημιών στο φλοιό. Η βιωσιμότητα των οστών μπορεί επίσης να ενισχυθεί με τη διατήρηση της παροχής αίματος στα οστά, η οποία είναι απαραίτητη για την ανάπτυξή τους, αφήνοντας επαρκή κάλυψη των μαλακών ιστών. Τα ενδοθηλιακά κύτταρα μπορεί να διεγείρουν την αγγειογένεση και να διαδραματίσουν σημαντικό ρόλο.
Η ιστογένεση κατά τη διάταση, είναι ένας όρος που περιγράφεται ως η σταδιακή αύξηση των μαλακών ιστών, σε ανταπόκριση προς τις δυνάμεις που εφαρμόζονται στην οστική διάταση.
Ενδείξεις – Αντενδείξεις Διατατικής Οστεογένεσης
Ενδείξεις για την διατατική οστεογένεση
Ενδείξεις για την διατατική οστεογένεση είναι οι κρανιοπροσωπικές ανωμαλίες-σύνδρομα (Crouzon, Pierre Robin, teacher collins, κλπ), οι σχιστίες του προσώπου, η βαριάς μορφής υπνική άπνοια, η ημιπροσωπική μικροσωμία, η ελλιπής φατνιακή απόφυση και πολύπλοκα τραύματα.
Η υπνική άπνοια σε επιλεγμένες περιπτώσεις ενηλίκων με ανεπάρκεια στους ανώτερους αεραγωγούς τους, επίσης μπορεί να αποτελεί ένδειξη για διατατική οστεογένεση. Σε ημιπροσωπική μικροσωμία μπορεί να ανταποκριθεί σε ένα συνδυασμό αμφιγναθικής διατατικής οστεογένεσης.
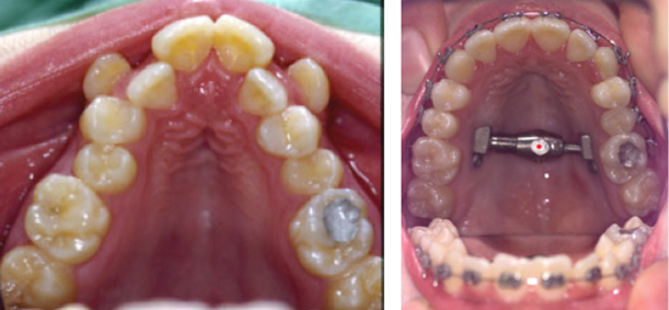
Η ελλιπής φατνιακή απόφυση μπορεί να είναι μια άλλη ένδειξη για διατατική οστεογένεση. Αυτή μπορεί να είναι το αποτέλεσμα τραυματικής αιτιολογίας ή συγγενούς δυσμορφίας. Η διάταση της φατνιακής απόφυσης δημιουργεί επάρκεια χώρου για την τοποθέτηση οδοντικού εμφυτεύματος, βελτίωση της αισθητικής τους, ή επέκταση του μεγέθους των φατνιακών αποφύσεων ώστε να καταστεί δυνατή η ορθοδοντική μετακίνηση των δοντιών.
Οι κρανιοπροσωπικές ανωμαλίες – σύνδρομα αντιπροσωπεύουν τις σημαντικότερες ενδείξεις για διατατική οστεογένεση. Ωστόσο μπορεί να χρησιμοποιηθεί για να βελτιώσει την αισθητική του περιγράμματος του προσώπου, και τη βελτίωση σε ορθογναθικές επεμβάσεις.
Συσκευές Διατατικής Οστεογένεσης
Οι συσκευές για διατατική οστεογένεση μπορούν να είναι εσωτερικές και εξωτερικές.
Οι εσωτερικές συσκευές εφαρμόζονται κάτω από τον βλεννογόνο, με μια μικρή ράβδο για τη διάταση που προεξέχει μέσω του βλεννογόνου ή του δέρματος. Είναι καλύτερα να χρησιμοποιούνται για μεγαλύτερα οστά και απαιτούν μία δεύτερη επέμβαση για την αφαίρεσή τους.
Οι εξωτερικές συσκευές βρίσκονται έξω από τον βλεννογόνο ή το δέρμα και συνδέονται με τα οστά που θα γίνει η διάταση μέσω διαδερμικών καρφίδων. Οι εξωτερικές συσκευές μπορούν να εφαρμοστούν σε μικρότερα οστά και να αφαιρεθούν χωρίς δεύτερη επέμβαση.
Κατά την διαδικασία τοποθέτησης της συσκευής διατατικής οστεογένεσης, απαιτείται γενική αναισθησία. Η συσκευή ελέγχεται και εξασφαλίζεται ότι λειτουργεί καλά πριν την τοποθέτησή της. Στις περιπτώσεις κατα τις οποίες γίνεται ταυτόχρονη διάταση στην άνω και κάτω γνάθο, η λεπτομέρεια είναι ζωτικής σημασίας. Στις γνάθους που έχουν συνδεθεί διαγναθικά με ελαστικούς δακτύλιους, αυτοί τοποθετούνται κατά τη διάρκεια της λανθάνουσας περιόδου για έλεγχο της καλής σύγκλισης.
Μετά από την απομακρύνση των υλικών διατατικής οστεογένεσης, η παρακολούθηση είναι απαραίτητη, για να εξακριβωθεί η επιτυχημένη διάταση του ασθενούς, αλλά και της κανονικής ανάπτυξης των γύρω ιστών.



