Skip to main content

,

10 Μαρτίου, 2026

Press Room

Δρ. Νικόλαος Κεχαγιάς : Γενικές πληροφορίες για την Χειρουργική Στόματος


Η οδοντοφατνιακή χειρουργική, ή όπως πολύ συχνά αναφέρεται και στοματική χειρουργική περιλαμβάνει και την εμφυτευματολογία,  την αφαίρεση εγκλείστων δοντιών (κυρίως των φρονιμιτών), αφαίρεση μικρών κύστεων, αποκάλυψη εγκλείστων δοντιών, σύγκλιση στοματορινικών συριγγίων, κ.α.

Η οδοντοφατνιακή χειρουργική αποτελούσε αρχικά τις πρώτες χειρουργικές επεμβάσεις των γναθοπροσωπικών χειρουργών. Σήμερα με την εξέλιξη των χειρουργικών τεχνικών, αλλά και την πολύχρονη και ολοκληρωμένη εκπαίδευση των ειδικών Στοματικών και Γναθοπροσωπικών Χειριουργών, τόσο η οδοντοφατνιακή χειρουργική, όσο και η τοποθέτηση των οδοντικών και μη οδοντικών εμφυτευμάτων, είναι ασφαλή και αγγίζουν την απόλυτη επιτυχία. Το πιό συχνό αίτιο αποτυχίας, υποτροπής, ή κακής εξέλιξης στις επεμβάσεις αυτές, οφείλεται στο ότι γίνονται και από μη ειδικούς ιατρούς.

Σημαντικό κομμάτι των επεμβάσεων αυτών είναι η αφαίρεση των κύστεων στους σκληρούς ή τους μαλακούς ιστούς.
Γενικά η ύπαρξη κύστης αποτελεί την δυναμική και αναπόφευκτη μεγέθυνσή της. Έτσι είναι πολύ πιθανό να επηρεαστούν σημαντικοί γειτονικοί ιστοί και όργανα.

Τέλος οι γνωστοί σε όλους μας φρονιμίτες που δημιουργούν πολλά και έντονα προβλήματα, κυρίως σε νεαρή ηλικία και όχι μόνο.
Μία συχνή επέμβαση που πολλοί τη θεωρούν σχετικά απλή, αλλά στην πραγματικότητα πολλές φορές δεν είναι έτσι.

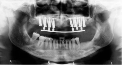
Επίσης, πλέον μία πολύ συχνή επέμβαση είναι η τοποθέτηση οστικού μοσχεύματος στα ιγμόρια άντρα για δημιουργία οστικού όγκου, με σκοπό την τοποθέτηση οδοντικών εμφυτευμάτων στην άνω γνάθο.
Αποτελεί και αυτή επέμβαση ρουτίνας για τους Στοματικούς και Γναθοπροσωπικούς Χειριουργούς, με αποτέλεσμα που αγγίζει σχεδόν πάντα το άριστο. Και εδώ το πιό συχνό αίτιο αποτυχίας, είναι το ίδιο όπως αναφέρθηκε πρωτύτερα για τους φρονιμίτες. Είναι πλέον γνωστό σε όλους ότι τα οδοντικά εμφυτεύματα συμβάλλουν στην αποκατάσταση της λειτουργίας της μάσησης, της κατάλληλης σύγκλισης και της διατήρησης  του οδοντικού φραγμο

Κάποιοι ασθενείς δεν προτιμούν τις κινητές οδοντοστοιχίες ως προσθετική αποκατάσταση, καθώς και άτομα μικρής ηλικίας με απώλεια δοντιών, η επιλογή των οδοντικών εμφυτευμάτων είναι η προτιμότερη λύση. Αλλά ακόμα και στους ασθενείς που έχουν προσαρμοστεί με τις ολικές οδοντοστοιχίες, αλλά δυσανασχετούν με την κινητικότητα αυτών πάλι τα οδοντικά εμφυτεύματα δίνουν καθοριστική λύση.

Σημαντικό είναι επίσης, κυρίως σε νέους η μεταμόσχευση δοντιών, όπου ανάλογα με την διάπλαση των ακροριζίων η επιτυχία της μεταμόσχευσης φθάνει σε μεγάλο ποσοστό. Έτσι το κενό που δημιουργείται μετά από απώλεια ενός μόνο γομφίου, μπορεί με μεγάλη πιθανότητα να κλείσει με μεταμόσχευση ενός φρονιμίτη στη θέση αυτή.

Διαβάστε περισσότερα εδώ

 

Ο Δρ. Νικόλαος Σ. Κεχαγιάς γεννήθηκε στο Santos της Βραζιλίας από Έλληνες γονείς. Παντρεμένος με δύο παιδιά, αποφοίτησε από την Ιατρική  και την Οδοντιατρική σχολή του Αριστοτελείου Πανεπιστημίου Θεσσαλονίκης. Ειδικεύτηκε στις κλινικές Στοματικής & Γναθοπροσωπικής Χειρουργικής των Α.Ν.Θ. Θεαγένειο και Γ.Π.Ν.Θ.Γ. Παπανικολάου.

Μετεκπαιδεύτηκε στην Ορθογναθική – Αισθητική Χειρουργική καθώς και στην Χειρουργική των Σχιστιών, στο νοσοκομείο AZ Sint Jan, Brugge. Επίσης στην χειρουργική των Laser (Laser Surgery with CO2  lasers in Oral & Maxillofacial Surgery) στη Mönchenglabach Bethesda Klinikum Γερμανίας.

Η διατριβή του με θέμα “Μόρια προσκόλλησης Ν-καντχερίνη και α- & β- κατενίνη, στους όγκους των σιαλογόνων αδένων, σε σχέση με την πρόγνωση, διήθηση και μετάστασή τους”, τιμήθηκε με υποτροφία από την Ευρωπαϊκή Ένωση.

Έχει αρκετές δημοσιεύσεις, καθώς και συνεχείς ανακοινώσεις σε συνέδρια. Συμμετείχε ως μέλος σε οργανωτικές επιτροπές αρκετών συνεδρίων. Είναι μέλος της Ελληνικής καθώς και της Ευρωπαϊκής εταιρίας Κρανιοπροσωπικής Χειρουργικής.

 

Δρ. Νικόλαος Σ. Κεχαγιάς, MD, DMD, OMFS

Στοματικός και Γναθοπροσωπικός Χειρουργός
Μετεκπαιδευθείς στην  Ορθογναθική-Αισθητική Χειρουργική Προσώπου και Σχιστιών, AZ Sint Jan, Brugge

Υπεύθυνος τμήματος Στοματικής & Γναθοπροσωπικής Χειρουργικής Κλινικής Αγ. Λουκά, Πανόραμα, Θεσσαλονίκης, 1ου Ελληνικού Κέντρου Σχιστιών

 

Ιατρείο – Κλινική Αγ. Λουκάς
Νίκος Κεχαγιάς

Πανόραμα, 552 36 Θεσσαλονίκης
Τηλ. Κλινικής: 2310 380000 • Τηλ. Εσωτερικό: 2310 380243 • Κιν: 6977 951723

e-mail: nikoskech@gmail.com

 

ΔΙΚΤΥΟ ΤΗΛΕΟΡΑΣΗ- ΤΡΟΠΟΙ ΕΠΙΚΟΙΝΩΝΙΑΣ